SonoSync™ est une solution de partage d’images échographiques à distance, sur tout type de support. Les fonctions chat audio, marquage en temps réel et affichage unique sur un seul écran (option MultiVue) favorisent une collaboration optimale et rapide entre plusieurs utilisateurs et développent la télé-expertise.
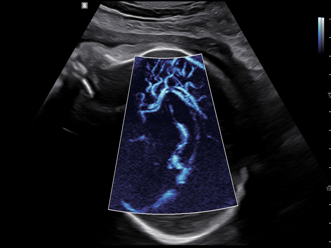
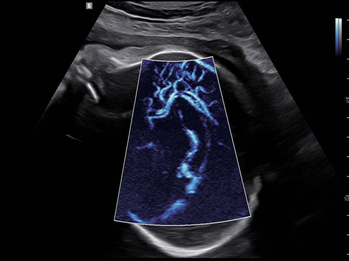
MV-Flow™ offre une nouvelle alternative au Doppler Énergie pour visualiser les flux lents et la microvascularisation des structures. Les hautes cadences images et les filtres d’imagerie avancés permettent au MV-Flow™ de coder le mouvement des hématies en s’abstenant des artefacts de l’imagerie B et ainsi améliorer la résolution spatiale.
LumiFlow™ est un codage de visualisation avec un effet tridimensionnel qui permet d’étudier l’architecture des vaisseaux, de manière intuitive.
Luminant™ est un algorithme de différenciation structurelle qui transforme les contours d’une image 2D et améliore l’analyse des structures, comme pour le cœur ou le cerveau fœtal.
permet une sommation d’images réalisées sur des bandes de fréquences différentes et limite les surexpositions et atténuations du signal. Cet outil met en évidence des zones habituellement masquées comme les contours de la boîte crânienne.
RealisticVue™ affiche une anatomie 3D haute résolution et une perception réaliste de la profondeur. Une source lumineuse est modélisée afin de permettre un effet d’ombre sur les structures et de surligner les zones d’intérêt.
CrystalVue™ est une technologie avancée qui permet de visualiser sur un rendu volumique, les structures tissulaires et les structures osseuses. Ce mode utilise la superposition des différentes échogénicités afin de permettre la visualisation de toutes les structures sur un même volume.
L’outil d’Intelligence Artificielle EzVolume™ segmente automatiquement les structures fœtales sur une image 3D. Cela vous permet de choisir quel type de structure visualiser, en couleur et/ou transparence.
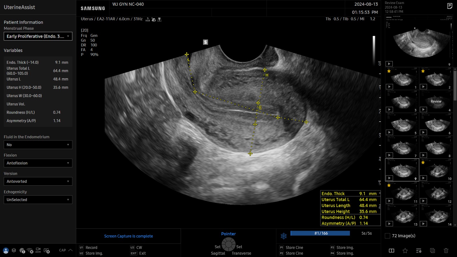
L’outil UterineAssist™, basé sur la reconnaissance d’image, permet en un clic de mesurer automatiquement la taille et la forme de l’utérus, facilitant ainsi la détection d’anomalies.
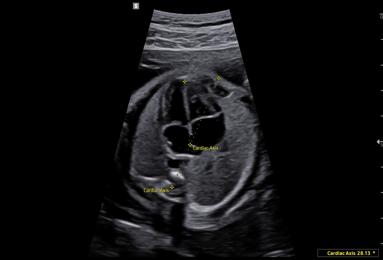
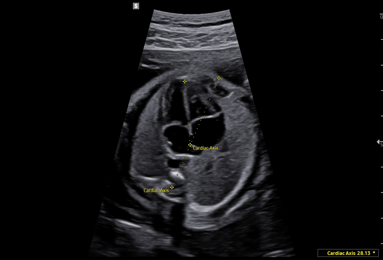
L’outil HeartAssist™, basé sur la reconnaissance d’images, permet d’identifier les structures de l’image échographique afin de réaliser automatiquement les mesures nécessaires à l’analyse du cœur fœtal. Il génère ensuite des résultats précis, ainsi que le tracé des courbes de normalité.
BiometryAssist™ est une technologie de mesure de biométries fœtales automatique qui permet à l’utilisateur de gagner en efficacité et en productivité.
L’outil UterineContour™ permet une reconstruction automatique de la coupe frontale de l’utérus à partir d’une coupe sagittale. Le tracé de la ligne de reconstruction se fait donc automatiquement et l’épaisseur de coupe est ajustée en fonction de l’épaisseur endométriale. De plus, ce mode offre la possibilité d’utiliser la classification des malformations utérines de l’ESHRE / ESGE et de l’ASRM*.
*ESHRE/ESGE : Société européenne de reproduction humaine et d’embryologie/ Société européenne de l’endoscopie gynécologiqueASRM : Société américaine de la médecine reproductive
Sélectionnez votre département en cliquant sur une des zones géographiques ci-dessous








Le HERA I10 est un dispositif médical réglementé de classe IIa portant le marquage CE au titre de cette réglementation.
Fabriqué par Samsung Medison Co. Ltd. (Corée du Sud), l’évaluation de la conformité a été réalisée par l’organisme notifié TÜV SÜD PRODUCT SERVICE GMBH (CE0123). Le HERA I10 est destiné au diagnostic médical par imagerie ultrasonore. Ce dispositif est destiné à être utilisé dans le cadre d’examens d’imagerie sur des parties du corps entier.
Lisez attentivement la notice d’utilisation ainsi que le « Guide de bon usage des examens d’imagerie médicale » publié par la HAS (2012) et l’arrêté du 20 avril 2018 relatif aux examens d’imagerie pour le suivi des femmes enceintes et le diagnostic prénatal.
Le design des stands des échographes a été inspiré des stands SAMSUNG Healthcare imaginés par l’agence Côté Face.
Réalisation du stand virtuel 3D par le L.E.N Médical.